Page 436 - v11i4
P. 436
International Journal of Bioprinting Osteocytic Wnt7b-PKCδ against microgravity
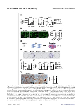
Figure 1. Effect of osteocytic Wnt7b on the osteogenic differentiation of ST2 cells. (A) Expression levels of Wnt ligands (Wnt3a, Wnt5a, Wnt7b) in the tibia
and femur of 16-week-old daβcat mice and WT controls after 14 days of tail suspension, measured by RT-qPCR. Data are presented as mean ± standard
Ot
deviation; *p < 0.05 versus normal loading; #p < 0.05 versus WT, by Two-Way ANOVA, n = 5–7. (B) Images and gene expression of the osteocytic cell line
MLO-Y4 cells infected by lentiviruses expressing Wnt7b, Wnt5a, and their control GFP, respectively. Scale bar = 100 µm. (C) Schematic of the co-culture
model: MLO-Y4 osteocytes and ST2 bone marrow stromal cells were co-cultured at a 1:4 ratio. (D) AP staining after 3 days of co-culture. L-ctrl and Wnt3a
groups represent MLO-Y4 cells treated with control or Wnt3a-conditioned medium, respectively. MLO-Y4, Y4-GFP, Y4-Wnt7b, and Y4-Wnt5a represent
co-culture of ST2 cells with the corresponding MLO-Y4 osteocytes. (E) AP biochemical activity assay of the co-culture as indicated. (F) Expression of
osteoblast marker genes (Alpl, Col1a1, Ibsp, Bglap) of the co-culture as indicated. (G) Alizarin Red S staining and quantification of mineralization nodules
of the co-culture of Y4-GFP and Y4-Wnt7b. Scale bar: 100 µm. *p < 0.05, compared with Y4-GFP or L-ctrl by Student’s t-test, n = 3 for panels B, E, F, and
G. Abbreviations: AP, alkaline phosphatase; daβcat , mice with daminantly active Wnt/β-catenin in osteocytes; GFP, green fluorescent protein; mRNA,
Ot
messenger ribonucleic acid; RT-qPCR, reverse transcription quantitative polymerase chain reaction; WT, wide type.
Volume 11 Issue 4 (2025) 428 doi: 10.36922/IJB025240238

