Page 25 - AN-1-3
P. 25
Advanced Neurology Early inhibition of PDK1 prevents AD-like pathology
A B
C
D
E F
G H
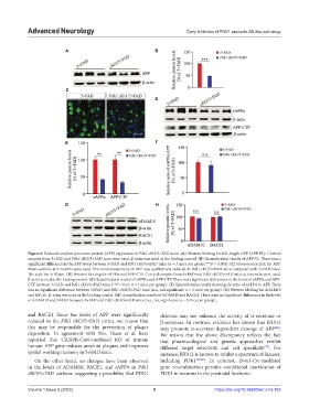
Figure 6. Reduced amyloid precursor protein (APP) expression in Pdk1 cKO/5×FAD mice. (A) Western blotting for full-length APP (APP-FL). Cortical
samples from 5×FAD and Pdk1 cKO/5×FAD mice were used. β-actin was used as the loading control. (B) Quantification results of APP-FL. There was a
significant difference in the APP levels between 5×FAD and Pdk1 cKO/5×FAD mice (n = 3 mice per group; ***P < 0.001). (C) Fluorescence IHC for APP.
Brain sections at 4 months were used. The immunoreactivity of APP was qualitatively reduced in Pdk1 cKO/5×FAD mice compared with 5×FAD mice.
The scale bar is 50 μm. (D) Western blotting for sAPPα and APP-CTF. Cortical samples from 5×FAD and Pdk1 cKO/5×FAD mice at 4 months were used.
β-actin served as the loading control. (E) Quantification results of sAPPα and APP-CTF. There were significant differences in the levels of sAPPα and APP-
CTF between 5×FAD and Pdk1 cKO/5×FAD mice (**P < 0.01; n = 3 mice per group). (F) Quantification results showing the ratio of sAPPα to APP. There
was no significant difference between 5×FAD and Pdk1 cKO/5×FAD mice (n.s., not significant; n = 3 mice per group). (G) Western blotting for ADAM10
and BACE1. β-actin was used as the loading control. (H) Quantification results of ADAM10 and BACE1. There were no significant differences in the levels
of ADAM10 and BACE1 between 5×FAD and Pdk1 cKO/5×FAD mice (n.s., not significant; n = 3 mice per group).
and BACE1. Since the levels of APP were significantly deletion may not enhance the activity of α-secretase or
reduced in the Pdk1 cKO/5×FAD cortex, we reason that β-secretase. In contrast, evidence has shown that BX912
this may be responsible for the prevention of plaque may promote α-secretase-dependent cleavage of APP .
[22]
deposition. In agreement with this, Duan et al. have We reason that the above discrepancy reflects the fact
reported that CRISPR-Cas9-mediated KO of mutant that pharmacological and genetic approaches exhibit
human APP gene reduces amyloid plaques and improves different target selectivity and cell specificity . For
[37]
spatial working memory in 5×FAD mice. instance, BX912 is known to inhibit a spectrum of kinases,
On the other hand, no changes have been observed including PDK1 [59,60] . In contrast, Emx1-Cre-mediated
in the levels of ADAM10, BACE1, and sAPPα in Pdk1 gene recombination permits conditional inactivation of
cKO/5×FAD cortices, suggesting a possibility that PDK1 PDK1 in neurons in the postnatal forebrain.
Volume 1 Issue 3 (2022) 9 https://doi.org/10.36922/an.v1i3.153

